Τα φθινοπωρινά φρούτα και λαχανικά που μειώνουν τη χοληστερόλη και θωρακίζουν την καρδιά Metrosport Team 01.10.2025
Το φρούτο που ρίχνει πίεση και χοληστερόλη: Γιατί πρέπει να το τρως κάθε μέρα Δημήτρης Καλαϊτζής 29.09.2025
Μέτρηση Χοληστερόλης: Ποιοι είναι οι νέοι δείκτες αίματος που πρέπει να μετράμε Metrosport Team 27.09.2025
Υγεία: Ποια είναι η «αόρατη» απειλή που αποδυναμώνει τα οστά και οδηγεί σε κατάγματα Δημήτρης Καλαϊτζής 26.09.2025
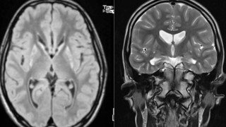
Πρωτοποριακή θεραπεία για τη νόσο του Χάντινγκτον επιβραδύνει την εξέλιξη της ασθένειας κατά 75% Metrosport Team 25.09.2025
Η ποσότητα αναψυκτικών που οδηγεί σε υψηλά ποσοστά εμφάνισης κολπικής μαρμαρυγής και εγκεφαλικών Metrosport Team 24.09.2025
Ακίλε Πολονάρα: Επιτυχής ανεύρεση δότριας με 90% συμβατότητα για μεταμόσχευση μυελού των οστών Χρύσανθος Δοβλέτογλου 24.09.2025