Πνευμονολόγος εξηγεί την ακτινογραφία του 38χρονου με κορωνοϊό

Πνευμονολόγος εξηγεί την ακτινογραφία του 38χρονου με κορωνοϊό

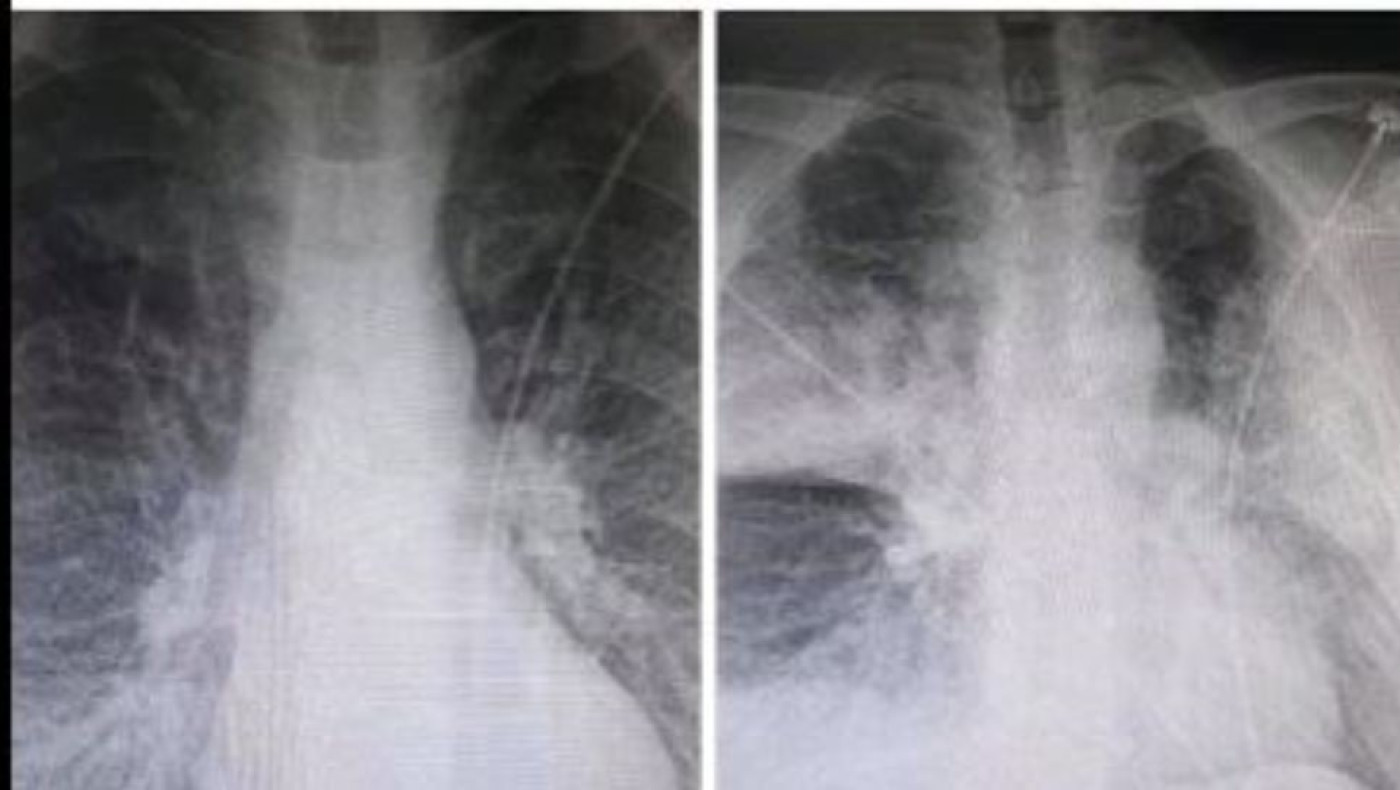
Σχολιάζοντας την ανησυχητική ανάρτηση του ακτινολόγου από το ΚΑΤ, που ανέβασε δύο ακτινογραφίες στο Facebook μέσα από τις οποίες αποτυπώνεται η ραγδαία επιδείνωση που προκαλεί ο κορωνοϊός στους ασθενείς, ο καθηγητής Πνευμονολογίας - Εντατικής Θεραπείας της Ιατρικής Σχολής του Πανεπιστημίου Αθηνών, Θεόδωρος Βασιλακόπουλος, δήλωσε ότι υπάρχουν περιπτώσεις ασθενών των οποίων η καλή εικόνα του αναπνευστικού συστήματος διαρκεί αρκετές ημέρες, αλλά αίφνης την 8η, 9η, 10η ημέρα εκδηλώνουν την επιπλοκή.

«Η ανάρτηση δείχνει μια λοίμωξη του αναπνευστικού, μία πνευμονία, που σε λίγες ώρες μετεξελίσσεται σε μια επιπλοκή της πνευμονίας που ονομάζεται οξεία πνευμονική βλάβη και στη σοβαρότερη μορφή της (ονομάζεται) Σύνδρομο Αναπνευστικής Δυσχέρειας του ενήλικα. Δεν πρόκειται για κάτι σπάνιο στις λοιμώξεις του αναπνευστικού ούτε και στη λοίμωξη που προκαλεί εν προκειμένω ο κορωνοϊός. Εκδηλώνεται και στην εποχική γρίπη και σε άλλες λοιμώξεις. Το Σύνδρομο Αναπνευστικής Δυσχέρειας είναι μία από τις βασικές, σοβαρές αιτίες που θα οδηγήσει κάποιον ασθενή με λοίμωξη σε Μονάδα Εντατικής Θεραπείας (ΜΕΘ). Αλλά και μια από τις αιτίες που ασθενής νοσηλευόμενος σε ΜΕΘ μπορεί να πεθάνει» επεσήμανε ο κ. Βασιλακόπουλος.

Εξηγώντας τι προκαλέι το σύνδρομο, είπε τα εξής καθηγητής: «Αυξάνεται η διαβατότητα των αγγείων που υπάρχουν στην περιφέρεια του πνεύμονα, εκεί που γίνεται η ανταλλαγή των αερίων, εκεί δηλαδή που απομακρύνεται το διοξείδιο του άνθρακα από τον οργανισμό και προσλαμβάνεται οξυγόνο. Το Σύνδρομο έχει ως αποτέλεσμα τη συσσώρευση υγρού και την κατάρρευση των αεροθυλάκων, εμποδίζοντας τους πνεύμονες να ανταλλάξουν οξυγόνο και διοξείδιο του άνθρακα. Επίσης, λόγω του Συνδρόμου εμφανίζονται θρόμβοι στο αίμα».

«Τις περισσότερες φορές ο ασθενής έχει την αίσθηση ότι επιδεινώνεται, διότι εμφανίζει ταχύπνοια, σχεδόν λαχάνιασμα κατά την αναπνοή, αναπνευστική δυσχέρεια, βήχα και δυσφορία. Μερικές φορές όμως, μπορεί αυτή η επιδείνωση να εξελίσσεται χωρίς ο ασθενής να την αντιληφθεί – σημειωτέον έχουν περιγραφεί αυτά σε περιστατικά κορωνοϊού. Αυτό συμβαίνει γιατί το αισθητικό σύστημα του ασθενή μπορεί να είναι επηρεασμένο από τον κορωνοϊό είτε διότι είναι πολύ δύσκαμπτος ο πνεύμονας του ασθενούς οπότε και πάλι δεν αντιλαμβάνεται ό,τι συμβαίνει. Αυτή η κατάσταση έχει ονομαστεί ως «happy hpoxaimia», δηλαδή ευτυχισμένη υποξαιμία, ακριβώς γιατί δεν γίνεται αισθητή, με ό,τι επίπτωση μπορεί να έχει», συμπλήρωσε.

Στο ερώτημα εάν μπορεί να προληφθεί η υποξαιμία, ο καθηγητής πνευμονολογίας απάντησε: «Ναι, η δική μου συμβουλή είναι όποιος έχει εμφανίσει λοίμωξη λόγω του κορωνοϊού να μετρά το επίπεδο οξυγόνου στον οργανισμό του, με οξύμετρο ώστε να μπορεί να γνωρίζει αν μειώνεται το οξυγόνο στον οργανισμό του, ιδίως αν δεν έχει συμπτώματα».

Όσον αφορά στη διάρκεια που χρειάζεται για την εμφάνιση της υποξαιμίας, ξεκαθάρισε ότι δεν υπάρχει συγκεκριμένη. «Υπάρχουν ασθενείς που έχουν εμφανίσει την οξεία εικόνα, ακόμη και σε λίγη ώρα, από την στιγμή που εμφανίστηκαν στο νοσοκομείο και υποβλήθηκαν σε ακτινογραφία. Υπάρχουν άλλες περιπτώσεις ασθενών που η καλή εικόνα του αναπνευστικού συστήματος διαρκεί αρκετές ημέρες, αλλά αίφνης την 8η, 9η, 10η ημέρα εκδηλώνουν την επιπλοκή».

Για το εάν είναι αναστρέψιμη η εικόνα, ο κ. Βασιλακόπουλος δήλωσε τα εξής: «Ναι, είναι αναστρέψιμη, με τα μέσα που έχουμε. Μπορούμε να χορηγήσουμε δεξαμεθαζόνη, πιθανόν να ωφελεί η ρεμντεσιβίρη. Μπορούμε να χορηγήσουμε οξυγόνο, μάλιστα βοηθά πολύ η ύπτια θέση του σώματος (μπρούμυτα) στην αναπνοή. Πολλές φορές χρειάζεται να διασωληνώσουμε τον ασθενή, δηλαδή να τον υποστηρίξουμε με αναπνευστήρα. Από αυτούς που διασωληνώνονται, το 40-50% θα καταφέρει να αντιμετωπίσει την επιπλοκή, να επουλώσει τη βλάβη και να αποσωληνωθεί. Αυτό δεν γίνεται από τη μία μέρα στην άλλη, εξαρτάται από πολλές παραμέτρους, μεταξύ άλλων ο οργανισμός του ασθενή, τα προβλήματα υγείας του κα. Πάντως και η πορεία μετά την αποσωλήνωση δεν είναι άμεση. Δεν εξέρχεται ο ασθενής από τη ΜΕΘ αμέσως μόλις αποσωληνωθεί, είναι μία πιο χρονοβόρα διαδικασία».

πηγή: protothema.gr

ΣΧΕΤΙΚΑ ΑΡΘΡΑ

ΔΕΙΤΕ ΠΕΡΙΣΣΟΤΕΡΑ

Ενημερωθείτε πρώτοι για όλα τα τελεταία νέα, απευθείας στο email σας