Ιατρικό θαύμα: Γυναίκα με δυο μήτρες γέννησε δίδυμα

Ιατρικό θαύμα: Γυναίκα με δυο μήτρες γέννησε δίδυμα

Συγκλονίζει η πρόοδος της ιατρικής επιστήμης και τα επιτεύγματά της! Αυτή τη φορά τα ευχάριστα νέα ήρθαν από την Κίνα. Γυναίκα με δύο μήτρες κατάφερε να γεννήσει δίδυμα!

Συγκεκριμένα, σύμφωνα με το CNN, γυναίκα που γεννήθηκε με δύο μήτρες, μια σπάνια ιατρική πάθηση, τον περασμένο μήνα γέννησε δίδυμα, ένα από κάθε μήτρα, στο Λαϊκό Νοσοκομείο Xi’an στην επαρχία Shaanxi.

Το Νοσοκομείο ανακοίνωσε ότι η Li, μετά από 8,5 μήνες κύησης, γέννησε με καισαρική τομή ένα υγιέστατο αγοράκι και ένα επίσης υγιέστατο κοριτσάκι.

Η γυναίκα πάσχει από μια πάθηση που επηρεάζει μόνο το 0,3% των γυναικών παγκοσμίως. Και οι δύο μήτρες της ήταν πλήρως σχηματισμένες και περιλάμβαναν ωοθήκες και ωαγωγούς, σύμφωνα με την Εθνική Ραδιοφωνία της Κίνας.

Σπάνια η πάθηση, ακόμη πιο σπάνια η επιτυχία της διπλής εγκυμοσύνης

Η πάθηση των διπλών ωοθηκών είναι πολύ σπάνια, αλλά είναι ακόμη πιο σπάνιο για μια γυναίκα στην κατάστασή της να γεννήσει με επιτυχία, πρόκειται για ένα περιστατικό που συμβαίνει «μια φορά στο εκατομμύριο».

Ο Cai Ying, ο επικεφαλής στο τμήμα μαιευτικής του νοσοκομείου, δήλωσε: «Η εγκυμοσύνη σε κάθε μία από τις δύο μήτρες μέσω φυσικής σύλληψης είναι πολύ σπάνια. Έχουμε ακούσει μόνο για μερικές τέτοιες περιπτώσεις στην Κίνα αλλά και συνολικά στο εξωτερικό».

«Είναι ακόμη πιο σπάνιο μια γυναίκα με αυτή την κατάσταση να γεννήσει με επιτυχία μετά από 37 εβδομάδες», πρόσθεσε, τονίζοντας ότι πρόκειται για ένα φαινόμενο που συμβαίνει «μία φορά στο εκατομμύριο».

«Είναι εξαιρετικά σπάνιο να συλληφθούν δίδυμα με φυσικό τρόπο σε κάθε κοιλότητα της μήτρας και ακόμη πιο σπάνιο να κυοφορηθούν μέχρι τέλους», ανέφερε το νοσοκομείο στον επίσημο λογαριασμό του στην κινεζική πλατφόρμα κοινωνικής δικτύωσης Weibo στις 18 Σεπτεμβρίου.

Δίδελφυς μήτρα: Σε πόσες γυναίκες συναντάται η πάθηση

Σύμφωνα με το νοσοκομείο, η νέα μητέρα γεννήθηκε με δύο τραχήλους και δύο μήτρες, μια κατάσταση που ονομάζεται δίδελφυς μήτρα και συναντάται σε περίπου 1 στις 2.000 γυναίκες.

Συνήθως, οι γυναίκες με δύο μήτρες δεν εμφανίζουν συμπτώματα μέχρι να μείνουν έγκυες. Κατά τη διάρκεια της εγκυμοσύνης τους, διατρέχουν αυξημένο κίνδυνο επαναλαμβανόμενων αποβολών, πρόωρου τοκετού, υπανάπτυξης του εμβρύου και αιμορραγιών μετά τον τοκετό.

Η ιστορία της τυχερής νέας μητέρας έγινε viral στα κινεζικά μέσα κοινωνικής δικτύωσης, με περισσότερες από 50 εκατομμύρια προβολές τις τελευταίες ημέρες. Το νοσοκομείο αποκάλυψε επίσης ότι η νεαρή μητέρα είχε μείνει έγκυος άλλη μια φορά αλλά είχε αποβάλλει στις 27 εβδομάδες, για άγνωστο λόγο.

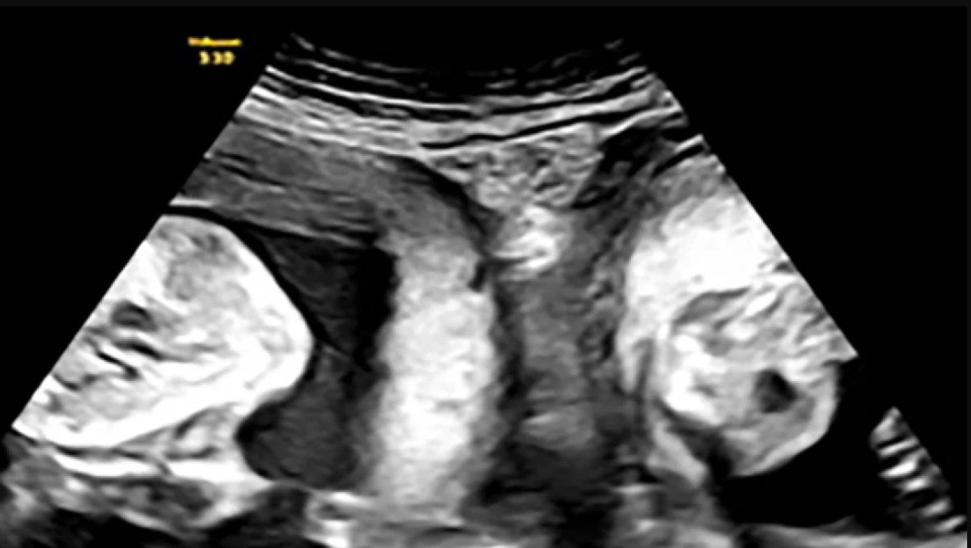
Η εγκυμοσύνη της παρακολουθήθηκε στενά από τους γιατρούς

Τον Ιανουάριο, όμως, η Li έμεινε ξανά έγκυος και ανακάλυψε κατά τη διάρκεια ενός υπερηχογραφήματος ότι κυοφορούσε δίδυμα - ένα σε κάθε μήτρα και οι γιατροί του νοσοκομείου «έπεσαν» πάνω στο περιστατικό για να εξασφαλίσουν την επιτυχία της εγκυμοσύνης.

Μετά από στενή ιατρική παρακολούθηση, η γυναίκα κατάφερε να γεννήσει ένα αγόρι βάρους 3,3 κιλών και ένα κορίτσι βάρους 2,4 κιλών, σύμφωνα με το νοσοκομείο.

Η Li και τα νεογέννητα πήραν εξιτήριο από το νοσοκομείο τέσσερις ημέρες μετά τη γέννησή τους.

Ο κρατικός ραδιοτηλεοπτικός φορέας της Κίνας CCTV μετέδωσε ότι τον περασμένο Δεκέμβριο μια γυναίκα στην αμερικανική πολιτεία Αλαμπάμα γέννησε δίδυμα κορίτσια τα οποία κυοφορούσε στις δυο μήτρες της.

Ακολουθήστε τη σελίδα του metrosport.gr και στο google news

Μπείτε στην παρέα μας στο instagram

Κάντε like στη σελίδα μας στο facebook

Εγγραφείτε στο κανάλι του metrosport.gr και του Metropolis 95.5 στο youtube

ΣΧΕΤΙΚΑ ΑΡΘΡΑ

ΔΕΙΤΕ ΠΕΡΙΣΣΟΤΕΡΑ

Ενημερωθείτε πρώτοι για όλα τα τελεταία νέα, απευθείας στο email σας